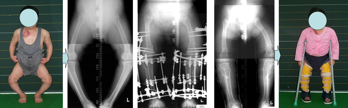
공지 가성연골무형성증환자의 하지변형에 대한 교정관리자-가성연골무형성증으로 다리가 휘어진 환자가 일리자로프로 교정을 받았습니다. Perform ilizarov technique to treat twisted legs caused by pseudoachondroplasia.다음글공지 다발성골단이형성증환자의 하지변형에 대한 교정 1이전글공지 연골무형성증환자의 하지변형에 대한 교정목록