사지기형교정술
환자와 함께 걸어가는 대찬병원 소아기형·왜소증클리닉입니다.
하지

척추골단이형성증 환자의 고관절 교정

왼쪽다리에 변형이 온 소아마비 환자의 하지 교정술

연골무형성증 환자의 키연장술 후 까치발 합병증 발생

대퇴골두 무혈성괴사 환자의 대퇴골교정

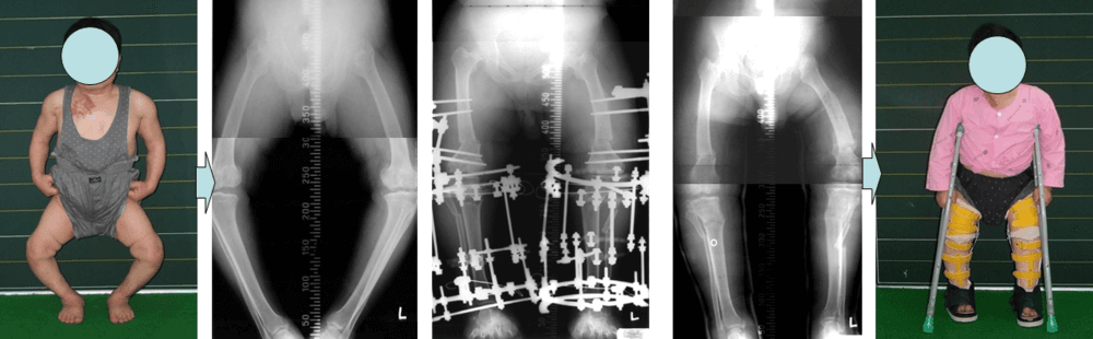
척추골단이형성증환자의 고관절교정 및 대퇴골연장

연골무형성증환자의 하지변형에 대한 교정

가성연골무형성증환자의 하지변형에 대한 교정

다발성골단이형성증환자의 하지변형에 대한 교정 1

다발성골단이형성증환자의 하지변형에 대한 교정 2

다발성골단이형성증환자의 하지변형에 대한 교정 3

비타민디저항성구루병환자의 하지변형에 대한 교정 1

비타민디저항성구루병환자의 하지변형에 대한 교정 2

골형성부전증환자의 하지변형에 대한 교정술

밖으로 휜 다리의 교정

소아마비환자의 하지변형에 대한 교정

무릎관절손상후 발생한 하지변형에서의 교정

하지변형에 대한교정

하지변형에 대한 대퇴골교정

발의 변형에 대한 교정 1

발의 변형에 대한 교정 2

발의 변형에 대한 교정 3

발의 변형에 대한 교정 4
