Notice: Correction of Lower Extremity Deformity in a Patient with Pseudoachondroplasia
Admin
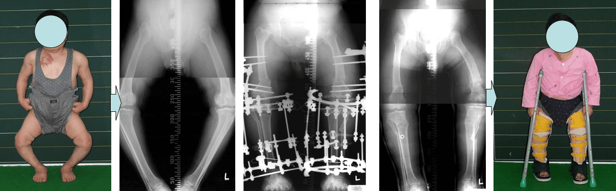
A patient with pseudoachondroplasia whose legs were twisted received correction with the Ilizarov method.
Perform ilizarov technique to treat twisted legs caused by pseudoachondroplasia.


